3 on 6 Dental Implants Mexico
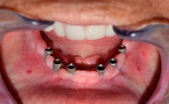
3 on 6 Implants, as the name implies, consists of 3 porcelain/zirconia bridges that are supported by 6 dental implants (2 for each bridge). The quality of the jaw bone will determine the position of the implants; in some cases, a bone graft is required.
3 on 6 implants are a modern and effective alternative treatment to dentures. This implant system will help you to recover your oral health with a very natural appearance. Thousands of patients from the United States and Canada travel to Mexico in the hope of obtaining quality dental work at a reasonable price. At Smile Makeover, you will find Certified Dentists in Mexico, who are prepared to guarantee you the best dental experience during your Full Mouth Reconstruction. 3 on 6 Dental Implants Cancun Mexico.
Benefits of 3 on 6 Implants

3 on 6 Dental Implants Cost
The complete process of getting the 3 on 6 Implant System consists of 2 trips to Cancun. In the first one, you will receive the implants while in the second one the dentist will place the bridges. Between them, you have to consider the healing time (4-6 months). Consult below the prices of 3 on 6 dental implants in Cancun (upper jaw or lower jaw):
Bridge materials
Zirconia: This material is an excellent option if you are looking for a natural look or are allergic to metals. Zirconia allows a higher level of aesthetics and more life-like properties.
E-max Porcelain: This is the newest and strongest cosmetic porcelain, has truly nature behavior, and excellent light transmission which made it a highly esthetic solution.

***The price may vary depending on the type of implants used (zirconia, porcelain, etc).
3 Bridges on 6 Implants Procedure
First Trip to Mexico
- The Preparation: The 3 on 6 procedure starts with an initial consultation, after, if it’s necessary the will proceed to teeth extraction in case you are not an edentulous patient.
- 3 on 6 Bone Grafting: The process of bone grafting is used to “fill up” the space left by the teeth roots when extracted or to accelerate the osseointegration process with bone graft material.
- Surgical Phase: Our Oral Surgeon will place 6 implants in the top and/or bottom arch. We will provide you with a Removable Temporary Denture while the implants/bone heal for 4-6 months.
- Healing Time (4 to 6 months): During this period the bone graft material will help your jawbone heal faster and allow the implant osseointegrate at a cellular level.
Second Trip to Mexico
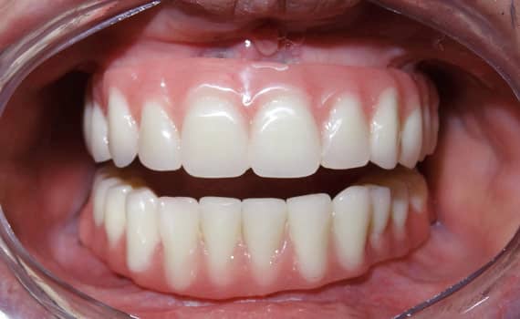
Final Bridges Restorations: After the rest period, when you return to Mexico to finish your 3 on 6 dental implants treatment, the dentist will be in charge of rehabilitating the implants and placing the 3 zirconia bridges. A pair of implants support one bridge.

Before

After
Differences between 3 on 6 & All on 4

3 on 6 Dental Implants
- Uses six implants which attach three bridges in the arch (upper or lower).
- No fake acrylic gums, which makes it feel and function like having your natural teeth. Replaces only the tooth portion
- Bone grafting is done to extracted teeth.
- More stability and protection for long term.
- The six implants help to maintain your natural healthy bone levels
- The 3 on 6 does not need to be removed for cleanings or maintenance.

All on 4
- All on 4 is a large, bulky restoration that could feel unnatural in your mouth
- Four implants secure this type of restoration .
- It is a good option when there is considerable bone loss.
- It usually requires removing some bone to get it to fit in the mouth.
- It’s necessary to remove them for cleanings and to prevent infection. Could be hard to keep it clean.
- Replace the teeth and gums(like a denture)
Navident for Dental Implants
We support our procedures on the technology, for this reason, the Specialists plan the implant placement through the use of Navident.
Navident offers to our Dental Surgeons an easy, accurate, and above all, an affordable virtual way to plan the restoration.
Computed Tomography and, digital impression data, allow creating the virtual patient’s jaw in seconds. This information allows the dental specialist to prepare the plan(with crowns and implants).
Navident shows the advance of the drill tip or implant in the patient’s jaw and the progress of the implantation plan.


